По количеству полостных образований заболевание классифицируется на:
- простая (солитарная) киста – одиночное чётко ограниченное от почечной ткани образование, как правило, одностороннее (чаще слева), длительно ничем себя не проявляющее; при значительном увеличении в размерах необходимо хирургическое лечение, так как приводит к гидронефрозу и ХПН;
- сложная, представляющая многокамерную полость, которая находится под одной крепкой соединительнотканной оболочкой;
- поликистоз – наследственно обусловленное состояние, характеризующееся множеством мелких кист в почечной ткани;
- губчатая почка – тяжёлое наследственное заболевание, при котором паренхима обеих почек представлена меленькими кисточками и напоминает губку.
В зависимости от расположения в почке кисты бывают:
- паренхиматозная – находится в толще органа, имеет длительное бессимптомно течение;
- субкапсулярная – расположена под капсулой почки, осложнения вызывает редко;
- синусная, локализующаяся в синусе почки и не контактирующая с лоханкой и мочеточником; такая локализация кист редко приводит к задержкам мочи;
- парапельвикальная – редкий вариант течения заболевания, чаще с правосторонней локализацией и встречающийся у лиц после 50 лет. Образование кисты происходит в области почечных лоханок.
Как нами уже обозначено, кисты почек могут быть врожденными или приобретенными по характеру их проявления.
Врожденные кистозные образования могут проявляться в следующих формах:
- Солитарная киста почек. Такая киста также доброкачественная, по форме она или округлая, или овальная. Перетяжки отсутствуют, соединений с протоками нет. Внутри серозная жидкость, в некоторых случаях в ней есть примесь в виде гноя или крови. В основном такая киста развивается только при поражении одной почки, после предшествующей травмы. Примерно в половине случаев такой тип кисты выявляется одновременно в нескольких местах на пораженной почке. Характерной особенностью этой формы является то, что чаще всего она проявляется как солитарная киста левой почки и диагностируется в подавляющем большинстве у мужчин.
- Мультикистоз. В данном случае речь идет о врожденном поражении одной из почек. Диагностируется эта форма патологии очень редко. При развитии тяжелой формы этого типа патологии почка внешне преобразуется в одну сплошную кисту, что, ввиду масштаба поражения, лишает ее присущих ей функций (иными словами, киста почки становится недееспособной). Кроме того, в некоторых случаях даже при данном варианте развития патологии в пораженной почке может сохраняться небольших размеров здоровый участок, за счет которого обеспечивается продуцирование малого количества мочи, скапливающейся в полостях кист.
- Поликистоз. В этом случае поражению подлежат одновременно обе почки. Из-за множественного образования кист внешний вид изменяется настолько, что они начинают напоминать виноградные гроздья. Преимущественно генетическая предрасположенность является основным фактором, провоцирующим развитие поликистоза почек.
- Губчатая почка (иначе – мультикистоз мозгового вещества). Врожденная патология, сопровождающаяся расширением почечных канальцев с сопутствующим образованием множественных кист небольших размеров.
- Дермоидная киста почки (или дермоид). Врожденная форма патологии, сопровождающаяся формированием кист, внутри которых обнаруживаются составляющие эктодермы. В качестве таких составляющих могут рассматриваться жир, эпидермис, костные включения, волосы и т.д.
- Кистозные образования в почках, обусловленные сопутствующими наследственными синдромами (туберкулезный склероз, синдром Цельвегера, синдром Меккеля и пр.).
Как мы уже обозначали, киста почки может быть также патологией приобретенной, и в этом случае у нее также имеются собственные особенности. Прежде всего, приобретенные кистозные образования характеризуются тем, что их появлению предшествует травмирование почек или актуальная почечная патология того или иного типа (туберкулез, паразитарные инфекции, пиелонефрит, гломерулонефрит, инфаркт и пр.).
При общем рассмотрении кист читатель может заметить, что поражение почек может быть как односторонним, так и двухсторонним, что также определяет для них отдельную позицию в общей классификации.
В зависимости от локализации киста почки может соответствовать следующим вариантам расположения:
- субкапсулярная киста почки – в данном случае киста находится под фиброзным слоем пораженного органа;
- интрапаренхиматозная киста почки – киста сосредоточена непосредственно в паренхиме (ткани органа);
- кортикальная киста почки – расположение кисты приходится на синус органа;
- парапельвикальная киста почки – расположение кисты в рамках области синуса органа.
В зависимости от особенностей структуры кисты почки, новообразование может быть однополостным (сплошным, однокамерным) или многокамерным – в этом случае новообразование имеет перегородки.
В зависимости от содержимого кист также существует отдельное их распределение:
- Сывороточное серозное содержимое – имеет прозрачную консистенцию, оттенок желтоватый. Серозное вещество является жидкостью, проникающей в кистозные образования сквозь капиллярные стенки.
- Геморрагическое содержимое – здесь речь идет о примеси крови в содержимом кисты. Такое содержимое появляется в новообразованиях, сформированных на фоне инфаркта или травмы почки.
- Гнойное содержимое – здесь, как понятно, имеется примесь гноя в кистозном образовании, что может быть результатом перенесения инфекционного заболевания пациентом.
- Кальцинаты – достаточно часто обнаруживается и содержимое кист в виде камней.
Кистозные новообразования могут также соответствовать определенным категориям, которые определяются в соответствии с их особенностями:
- I категория. Данная категория включает в себя наиболее распространенную форму доброкачественных кистозных образований, они при УЗИ-исследовании выявляются без каких-либо затруднений.
- II категория. Данная категория включает в себя доброкачественные новообразования, имеющие определенные изменения и перепонки. В этом случае речь идет об инфицированных, гиперденсивных или же кальцифицированных их формах, в диаметре они достигают 3 сантиметров.
- III категория. Сюда относятся кисты, предрасположенные к малигнизации. Из-за этого происходит утолщение их оболочек и перепонок. Обнаружить такие кисты при рентгенологическом исследовании крайне трудно. Кроме того, лечение кисты в таком случае должно быть произведено незамедлительно, за счет соответствующего оперативного вмешательства.
Подытоживая, можно одновременно обозначить и основные причины кисты почки, которые так или иначе влияют на их особенности:
- опухолевые образования в почках (в одной или в обеих);
- пиелонефрит;
- песок, камни в почках;
- травма почек;
- туберкулез почек;
- интоксикация организма (медикаментозная в т.ч.);
- ишемический или венозный инфаркт почки;
- гематома почки, поражение фиброзной капсулы органа.
Виды кистозных аномалий (зеленым цветом показана чашечно-лоханочная система обозначена зеленым для определения соотношения положения): а — поликистоз; б — мультикистоз; в — солитарная киста; г — мультилокулярная киста; д — губчатая почка; е — чашечковый дивертикул в верхнем полюсе почки
Лечение травами кисты почек
Лечение кисты почки с помощью трав можно использовать как самостоятельный метод лечения или в качестве дополнения к основному, с разрешения врача. В основном при лечении почек народная медицина применяет такие травы: тысячелистник, листья лопуха, ромашку, зверобой, шиповник, календулу. Также возможно использовать плоды брусники, рябины для приготовления настоек.
Для приготовления отваров и настоек в основном используется вода (обычно кипяток). Для приготовления настоек используют спиртовую основу, обычно водку. Некоторые виды настоек можно добавлять в чай. Известным способом народного лечения кисты почки является обыкновенный зеленый чай, в который нужно добавлять молоко и мед (не меньше, чем по одной чайной ложки). Такое лекарство нужно пить два раза в день, лучше всего утром и вечером.
Облегчить состояние при кисте почки поможет настойка эхинацеи, которую можно купить в любой аптеке. Принимать настойку нужно три раза в день по 15 капель, в течение 6 месяцев. Также в сочетании с эхинацеей хорошо использовать грецкий орех. Для приготовления лекарства понадобятся грецкие орехи молочной спелости, которые необходимо измельчить (можно пропустить через мясорубку).
Лечение кисты почки народными методами – это длительная процедура, поэтому если заболевание находится на последней стадии, не стоит откладывать операцию.
Лечение кисты почки с помощью обыкновенного лопуха считается наиболее эффективным средством для избавления от новообразования. Но для лечения лопухом, прежде всего, нужно знать, как именно проводить лечение с его помощью. В первую очередь, надо срезать несколько листов растения, хорошо их промыть и отжать сок (можно с помощью соковыжималки). Курс лечения свежим соком лопуха составляет два месяца. Принимают сок перед едой, три раза в день по одной либо двум столовым ложкам.
Для лечения кисты хорошо подходит кашица из этого растения: молодые листья лопуха хорошо перемолоть (можно с помощью мясорубки или блендера). Полученную кашицу принимают перед едой 3 раза в день по одной столовой ложке. Хранить кашицу необходимо в холодильнике, готовить слишком много не нужно, так как со временем теряются полезные свойства растения. Лучше всего приготовить порцию, которой хватит на 2-3 дня.
Важно знать, что при использовании лопуха для лечения кисты почки запах и цвет мочи может измениться.
Чистотел за последнее время завоевал большую популярность, причем даже в традиционной медицине. Используется в основном в качестве наружных примочек, но иногда и для внутреннего применения. Чистотел является очень ядовитым растением, поэтому, решив использовать внутрь, важно строго придерживаться указанной дозировки.
Для приготовления лекарства нужно свежесорванную траву растения пропустить через мясорубку (можно измельчить в блендере) и отжать сок. Начинать принимать нужно с одной капли, которую необходимо разбавить одной чайной ложкой воды, каждый день нужно по одной капле прибавляют, курс длится 10 дней, затем делается десятидневный перерыв в лечении.
Начинают прием с 10 капель, которые разводят в 30 мл воды, затем, на следующий день прибавляют 1 каплю (т.е. получается 11 кап.), и так прибавляют каждый день, пока количество капель не будет равняться 35 (это будет 25 день лечения). После этого капли убираются в обратном порядке, т.е. их количество снова доводится до 10 капель.
С третьего курса лечения можно перейти на трехразовый прием настойки. Всего для полного выздоровления потребуется пять курсов.
Синусная (Парапельвикальная)
Парапельвикальная, которая также известна под названием синусная киста почки, появляется при увеличении просвета лимфатических сосудов, проходящих через синус почки. Такое образование чаще встречается у женщин в возрасте старше 45 лет. Точная причина развития такой кисты в настоящее время не установлена и выявляется в 6% всех случаев.
Жидкостное заполнение кисты прозрачного желтого цвета, нередко с кровяными примесями. Обычно парапельвикальные кисты выявляются совершенно случайно. Если в диаметре киста имеет не более 5 см, лечение кисты почки не проводят, пациента ставят под наблюдение. Более крупные размеры подлежат обязательному хирургическому удалению.
Кисты, пока не достигнут крупного размера, обычно никак себя не проявляют. Увеличивающаяся киста затрудняет отток мочи, становится причиной колик, появления крови в моче. Киста создает хорошие условия для развития камней в почках. В некоторых случаях, киста ошибочно принимается за гидронефроз (повышенное содержание жидкости в почке, с связи с чем начинается нарушение оттока мочи).
Эта разновидность кист относится к простым. Синусная киста появляется при увеличении просвета лимфатических сосудов, проходящих через синус почки, находящийся возле лоханки, но не примыкающий к ней. Это нарушение наблюдается по большей части у представительниц слабого пола от 45 лет и старше. Причина появления таких кист на сегодняшний день неизвестна.
Это образование также именуется парапельвикальной кистой. Объем образования может быть самым разным и измеряться как сантиметрами, так и миллиметрами. Такая разновидность кисты составляет приблизительно 6% от всех случаев. Киста заполнена желтоватой жидкостью без мути, нередко имеющей примесь крови.
Синусные кисты чаще всего обнаруживаются случайно. Если киста не достигает пяти сантиметров, ее не трогают. При более крупных размерах назначается оперативное вмешательство. До достижения крупных размеров киста не проявляется никаким образом. По увеличению ее пациент ощущает ухудшение истечения мочи, колики, наблюдает присутствие крови в моче.
Наличие кист создает благоприятные условия для отложения камней.Обнаруживаются такие образования с помощью ультразвука, компьютерной томографии или МРТ. Иногда парапельвикальную кисту принимают за гидронефроз. Чаще всего такое бывает, если кист несколько. Иногда же сама киста приводит к развитию гидронефроза, уменьшая просвет мочевых протоков.
Лечение кисты левой почки
Как уже говорилось, киста является доброкачественным образованием, которое заполнено жидкостью. Размеры кисты бывают разными, от 2 миллиметров до нескольких сантиметров (10 и больше). Развитие кисты может быть спровоцировано травмой, инфекционным поражением органа либо киста может являться врожденным заболеванием. Образование кисты почки широко распространено, она выявляется практически у половины населения, возраст которого за 50 лет.
Если киста на левой почке не давит на прилегающие органы, она, как правило, не доставляет человеку неудобств. Чаще всего такие кисты выявляются на плановом УЗИ или при сопутствующих заболеваниях. Если киста по размеру не очень большая, не причиняет дискомфорта, то лечение кисты почки не требуется. В данном случае врач назначает регулярное ультразвуковое исследование (не реже 2 раз в год) и осмотр.
Наблюдение за кистой проводится, для того, чтобы следить за ростом и развитием новообразования. Опасность киста почки представляет тогда, когда появляются осложнения, в частности начавшееся нагноение либо разрыв. Если выявлены какие-либо осложнения пациенту назначается немедленная операция, также операция необходима в случае перерождения в злокачественную опухоль.
Плановое оперативное вмешательство по удалению кисты почки проводят тогда, когда киста достигла больших размеров и начинает давить на соседние органы и ткани, нарушая их нормальное функционирование. В этом случае используется лапароскопия. Небольшие по размеру кисты удаляются при помощи специальной иглы, через которую высасывается жидкость, а затем в полость кисты вводится спирт, чтобы вызвать склероз её стенок и предотвратить в будущем рецидив.
Лечение солитарной кисты почки
Солитарная киста — одиночное кистозное образование круглой или овальной формы, исходящее из паренхимы почки и выступающее над её поверхностью. Диаметр кисты может достигать различных размеров. Содержимое её, как правило, серозное, изредка геморрагическое вследствие кровоизлияния в кистозную полость, или гнойное из-за воспалительного процесса. Крайне редко встречаются дермоидные кисты, содержащие дериваты эктодермы.
Чаще всего кисты почек имеют бессимптомное течение и диагностируют при УЗИ. Иногда больные могут жаловаться на тупую боль в области почки, транзиторную гематурию и лейкоцитурию, в редких случаях при наличии кистозных полостей большого диаметра может отмечаться артериальная гипертензия. Осложнённое течение кисты (её нагноение) проявляется клиникой острого гнойного воспалительного процесса.
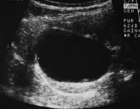
Основной метод диагностики — УЗИ с допплерографией, позволяющее локализовать кисту, определить её размеры, соотношение с коллекторной системой почки, и характер кровотока в паренхиме окружающей кистозную полость (рис. 1 а, б). С помощью УЗИ при диспансерном наблюдении у больных с солитарной кистой почки оценивают размеры кисты по мере роста ребёнка.
Рис. 1. Киста верхнего полюса почки. Ультразвуковая сканограмма. а) в В-режиме, б) энергетическое допплеровское картирование.
Экскреторная урография в настоящее время потеряла свою актуальность в диагностике кистозных поражений почки.
Для верификации диагноза в большинстве случаев используется мультиспиральная компьютерная томография с контрастированием, позволяющая четко определить локализацию, объем кистозного образования, его соотношение с полостной системой почки и магистральными сосудами, выявить сообщение с коллекторной системой, исключить опухолевый процесс (Рис. 2 а, б, в).
Рис. 2 а, б. Мультиспиральная компьютерная томография с 3D реконструкцией. Киста верхнего полюса левой почки; а) фронтальный срез паренхиматозная фаза, б) фронтальный срез экскреторная фаза.
Рис. 2 в. Мультиспиральная компьютерная томография солитарной кисты правой почки, аксиальный срез, паренхиматозная фаза.
Лечение
Лечение солитарных кист почек хирургическое. В настоящее время используются пункционный метод лечения с последующим склерозированием (Рис.3) и лапароскопический способ. Показаниями к оперативному вмешательству служат: быстрое увеличение размеров кисты, её диаметр более 30 мм, признаки сдавления соседних участков паренхимы с нарушением уро- и гемодинамики. Способ хирургической коррекции зависит от объема и локализации кистозной полости.
Рис. 3. Киста почки. Пункция и дренирование полости солитарной кисты.
Пункция кист проводится под общей анестезией в положении больного на животе, с подложенным валиком.
Увеличить
В том случае, когда патология сопровождается различными осложнениями, необходимо откорректировать свое питание при кисте почки. Так, нужно исключить из рациона черных хлеб, а также продукты, имеющие соленый вкус (такие, как рыба, мясо, грибы). Категорически запрещается принимать алкоголь, кофе, консервы и любые маринованные овощи.
Разрешается употреблять только безбелковых хлеб, супы, приготовленные без соли (желательно овощные), нежная рыба, максимум 1 яйцо в день, молоко и различные молочные продукты, зеленый чай, свежие овощи, фрукты, а также каши. Переход на подобное диетическое питание необходимо для того, чтобы оставаться здоровым и суметь уберечь все функции поврежденного органа.




